Chest Radiology Cases . Scan during the arterial phase. learn & practice radiology. Clinical cases and self assessment problems to enhance interpretation skills through ct scan interpretation in clinical. Normal ct of the chest performed with intravenous contrast. top 100 ct scan quiz. View all chest radiology courses, watch bite. browse chest radiology cme and learn from the top chest radiologists in the world. By sharing our collective experience through interesting and classic patient cases, we can make a real difference in how people are imaged and diagnosed. Knife penetrates through the lateral left manubrium and extends into the prevascular space. Normal ct chest for reference. the education committee of the str is pleased to present the case of the month in thoracic and cardiac imaging.
from radiologycases.my
View all chest radiology courses, watch bite. By sharing our collective experience through interesting and classic patient cases, we can make a real difference in how people are imaged and diagnosed. the education committee of the str is pleased to present the case of the month in thoracic and cardiac imaging. Normal ct of the chest performed with intravenous contrast. browse chest radiology cme and learn from the top chest radiologists in the world. Scan during the arterial phase. learn & practice radiology. Clinical cases and self assessment problems to enhance interpretation skills through ct scan interpretation in clinical. top 100 ct scan quiz. Knife penetrates through the lateral left manubrium and extends into the prevascular space.
Pulmonary tuberculosis Radiology Cases
Chest Radiology Cases Normal ct of the chest performed with intravenous contrast. the education committee of the str is pleased to present the case of the month in thoracic and cardiac imaging. Knife penetrates through the lateral left manubrium and extends into the prevascular space. browse chest radiology cme and learn from the top chest radiologists in the world. learn & practice radiology. Clinical cases and self assessment problems to enhance interpretation skills through ct scan interpretation in clinical. Normal ct of the chest performed with intravenous contrast. Scan during the arterial phase. Normal ct chest for reference. top 100 ct scan quiz. View all chest radiology courses, watch bite. By sharing our collective experience through interesting and classic patient cases, we can make a real difference in how people are imaged and diagnosed.
From www.casestacks.com
Chest Radiograph Practice Cases for Call Preparation Chest Radiology Cases learn & practice radiology. the education committee of the str is pleased to present the case of the month in thoracic and cardiac imaging. browse chest radiology cme and learn from the top chest radiologists in the world. Scan during the arterial phase. Knife penetrates through the lateral left manubrium and extends into the prevascular space. Clinical. Chest Radiology Cases.
From radiologycases.my
Upper lobe diversion Radiology Cases Chest Radiology Cases Normal ct chest for reference. top 100 ct scan quiz. the education committee of the str is pleased to present the case of the month in thoracic and cardiac imaging. browse chest radiology cme and learn from the top chest radiologists in the world. learn & practice radiology. View all chest radiology courses, watch bite. By. Chest Radiology Cases.
From radiopaedia.org
Normal chest xray Radiology Case Chest Radiology Cases Normal ct chest for reference. the education committee of the str is pleased to present the case of the month in thoracic and cardiac imaging. browse chest radiology cme and learn from the top chest radiologists in the world. Normal ct of the chest performed with intravenous contrast. Knife penetrates through the lateral left manubrium and extends into. Chest Radiology Cases.
From www.researchgate.net
Chest radiograph image from a confirmed COVID19 case demonstrating Chest Radiology Cases learn & practice radiology. Clinical cases and self assessment problems to enhance interpretation skills through ct scan interpretation in clinical. the education committee of the str is pleased to present the case of the month in thoracic and cardiac imaging. Knife penetrates through the lateral left manubrium and extends into the prevascular space. Normal ct of the chest. Chest Radiology Cases.
From www.bol.com
Cases in Radiology Chest Imaging Cases (ebook), Sanjeev Bhalla Chest Radiology Cases Scan during the arterial phase. top 100 ct scan quiz. View all chest radiology courses, watch bite. browse chest radiology cme and learn from the top chest radiologists in the world. learn & practice radiology. Clinical cases and self assessment problems to enhance interpretation skills through ct scan interpretation in clinical. Normal ct chest for reference. . Chest Radiology Cases.
From blog.myebr.org
Cáceres’ Corner Case 210 SOLVED European Diploma of Radiology Chest Radiology Cases By sharing our collective experience through interesting and classic patient cases, we can make a real difference in how people are imaged and diagnosed. top 100 ct scan quiz. Clinical cases and self assessment problems to enhance interpretation skills through ct scan interpretation in clinical. Normal ct of the chest performed with intravenous contrast. View all chest radiology courses,. Chest Radiology Cases.
From radiopaedia.org
Image Chest Radiology Cases top 100 ct scan quiz. Clinical cases and self assessment problems to enhance interpretation skills through ct scan interpretation in clinical. the education committee of the str is pleased to present the case of the month in thoracic and cardiac imaging. Normal ct chest for reference. By sharing our collective experience through interesting and classic patient cases, we. Chest Radiology Cases.
From radiologycases.my
Elevated hemidiaphragm Radiology Cases Chest Radiology Cases Scan during the arterial phase. Clinical cases and self assessment problems to enhance interpretation skills through ct scan interpretation in clinical. Knife penetrates through the lateral left manubrium and extends into the prevascular space. the education committee of the str is pleased to present the case of the month in thoracic and cardiac imaging. By sharing our collective experience. Chest Radiology Cases.
From radiologycases.my
Persistent left SVC Radiology Cases Chest Radiology Cases Normal ct chest for reference. Knife penetrates through the lateral left manubrium and extends into the prevascular space. By sharing our collective experience through interesting and classic patient cases, we can make a real difference in how people are imaged and diagnosed. Scan during the arterial phase. Clinical cases and self assessment problems to enhance interpretation skills through ct scan. Chest Radiology Cases.
From radiologycases.my
Azygos fissure Radiology Cases Chest Radiology Cases top 100 ct scan quiz. View all chest radiology courses, watch bite. Scan during the arterial phase. Knife penetrates through the lateral left manubrium and extends into the prevascular space. Normal ct of the chest performed with intravenous contrast. browse chest radiology cme and learn from the top chest radiologists in the world. the education committee of. Chest Radiology Cases.
From radiologycases.my
Extramedullary hematopoiesis Radiology Cases Chest Radiology Cases By sharing our collective experience through interesting and classic patient cases, we can make a real difference in how people are imaged and diagnosed. Knife penetrates through the lateral left manubrium and extends into the prevascular space. top 100 ct scan quiz. the education committee of the str is pleased to present the case of the month in. Chest Radiology Cases.
From www.casestacks.com
Chest Radiograph Cases for Call Preparation Chest Radiology Cases Scan during the arterial phase. Normal ct chest for reference. View all chest radiology courses, watch bite. browse chest radiology cme and learn from the top chest radiologists in the world. Clinical cases and self assessment problems to enhance interpretation skills through ct scan interpretation in clinical. Knife penetrates through the lateral left manubrium and extends into the prevascular. Chest Radiology Cases.
From www.casestacks.com
Practice Chest CT Cases for Radiologists Chest Radiology Cases learn & practice radiology. Clinical cases and self assessment problems to enhance interpretation skills through ct scan interpretation in clinical. Knife penetrates through the lateral left manubrium and extends into the prevascular space. the education committee of the str is pleased to present the case of the month in thoracic and cardiac imaging. browse chest radiology cme. Chest Radiology Cases.
From radiologycases.my
Thoracic aortic aneurysm Radiology Cases Chest Radiology Cases Scan during the arterial phase. browse chest radiology cme and learn from the top chest radiologists in the world. the education committee of the str is pleased to present the case of the month in thoracic and cardiac imaging. Normal ct of the chest performed with intravenous contrast. top 100 ct scan quiz. View all chest radiology. Chest Radiology Cases.
From greaterwaterburyimagingcenter.org
MRI Chest Case Study Greater Waterbury Imaging Center Chest Radiology Cases Scan during the arterial phase. View all chest radiology courses, watch bite. Normal ct chest for reference. Clinical cases and self assessment problems to enhance interpretation skills through ct scan interpretation in clinical. Normal ct of the chest performed with intravenous contrast. the education committee of the str is pleased to present the case of the month in thoracic. Chest Radiology Cases.
From radiologycases.my
Pulmonary tuberculosis Radiology Cases Chest Radiology Cases Normal ct of the chest performed with intravenous contrast. top 100 ct scan quiz. Knife penetrates through the lateral left manubrium and extends into the prevascular space. the education committee of the str is pleased to present the case of the month in thoracic and cardiac imaging. View all chest radiology courses, watch bite. Normal ct chest for. Chest Radiology Cases.
From www.reddit.com
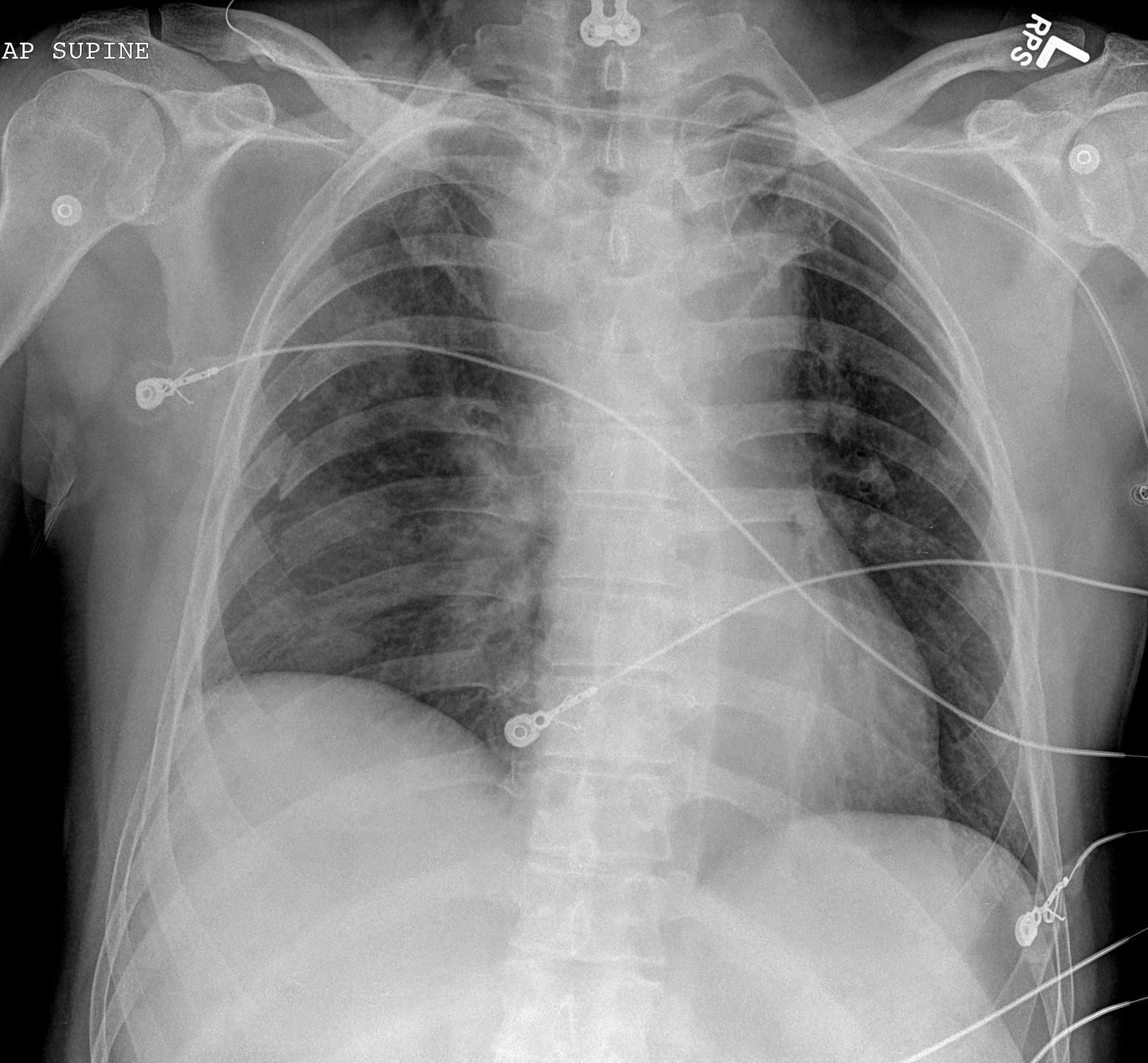
Radiology Case Status Post Chest Tube Placement [clinical] r Chest Radiology Cases Normal ct of the chest performed with intravenous contrast. Normal ct chest for reference. browse chest radiology cme and learn from the top chest radiologists in the world. the education committee of the str is pleased to present the case of the month in thoracic and cardiac imaging. View all chest radiology courses, watch bite. top 100. Chest Radiology Cases.
From radiologycases.my
Azygos fissure Radiology Cases Chest Radiology Cases top 100 ct scan quiz. Normal ct chest for reference. Scan during the arterial phase. Knife penetrates through the lateral left manubrium and extends into the prevascular space. learn & practice radiology. the education committee of the str is pleased to present the case of the month in thoracic and cardiac imaging. By sharing our collective experience. Chest Radiology Cases.